Ortodonzia Pediatrica

Ortodonzia Intercettiva – Prevenzione e Crescita Serena nei Bambini

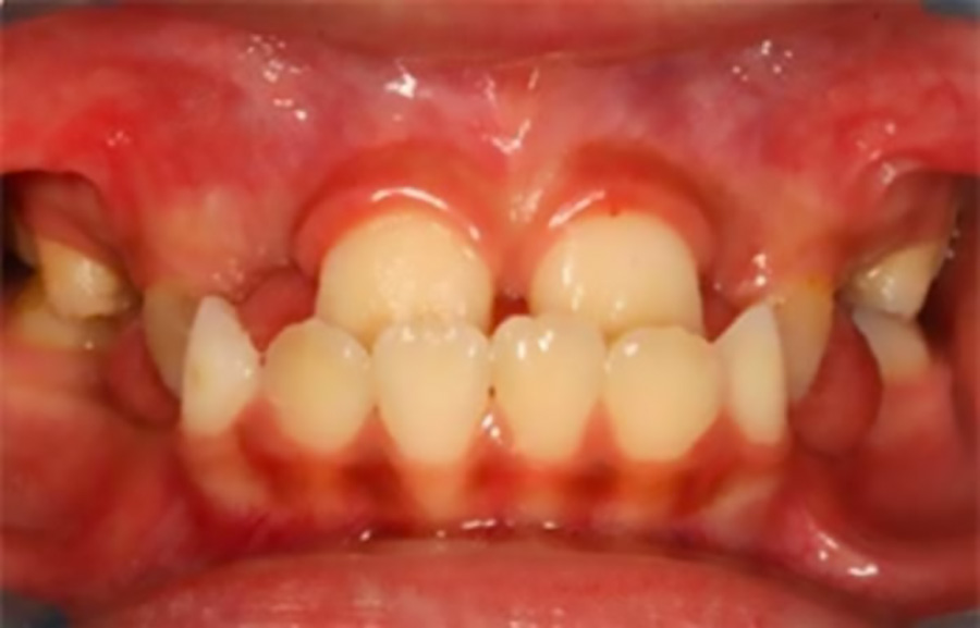
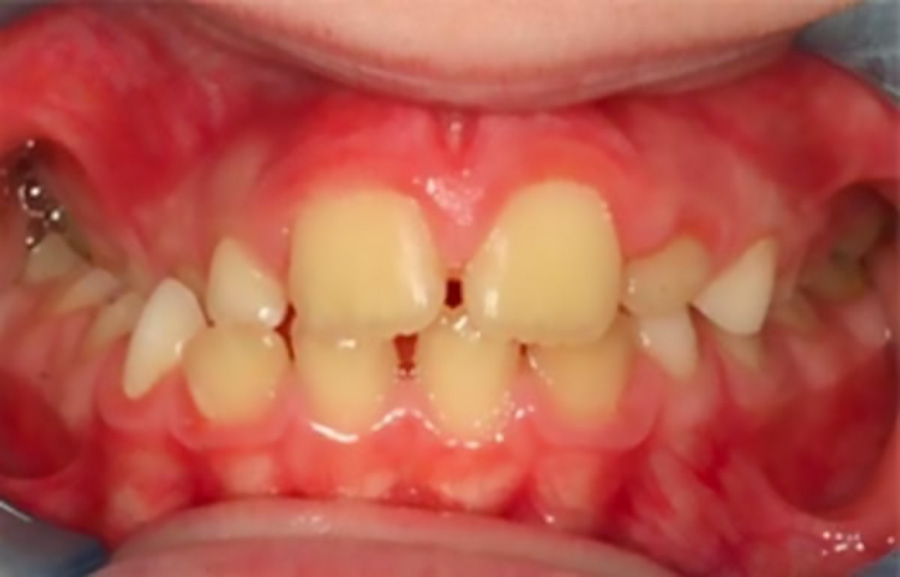
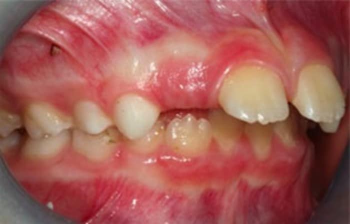
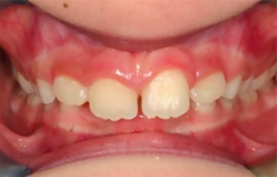
Presso Dental C, ci occupiamo di ortodonzia intercettiva, ovvero quella branca dell’ortodonzia dedicata ai bambini in età precoce, con l’obiettivo di intercettare e correggere tempestivamente alterazioni nello sviluppo cranio-facciale e dentale.

Perché è importante una visita ortodontica precoce?

È consigliabile effettuare una prima visita ortodontica tra i 5 e i 6 anni, quando la dentatura è ancora mista (presenza di denti da latte e primi denti permanenti). In questa fase non si interviene ancora sull’allineamento, ma si valutano:

  • Malocclusioni scheletriche o funzionali

  • Abitudini viziate (come succhiamento del pollice, respirazione orale)

  • Alterazioni nello sviluppo delle ossa mascellari

Vantaggi dell’ortodonzia intercettiva

  • Guida lo sviluppo armonico del volto

  • Previene problemi più complessi in età adulta

  • Riduce o semplifica trattamenti futuri

Con trattamenti personalizzati e non invasivi, utilizziamo apparecchi mobili su misura per stimolare o riequilibrare la crescita, nel rispetto delle fasi di sviluppo del bambino.

Studio convenzionato con:

Dottoressa

Clementina Candela

La Dott.ssa Candela, laureata con lode in Odontoiatria e Protesi Dentaria presso l’Università degli Studi di Palermo, vanta oltre 17 anni di esperienza clinica e si distingue per una formazione continua che abbraccia sia la cura odontoiatrica tradizionale, sia le più moderne tecniche estetiche del volto. La sua visione interdisciplinare la porta a integrare l’odontoiatria funzionale ed estetica con interventi mini-invasivi sul viso, creando un connubio tra armonia del sorriso e bellezza naturale del volto.

All’interno dello studio Dental C, i pazienti trovano un ambiente professionale ma accogliente, attento alle esigenze di adulti e bambini. Il reparto di odontoiatria pediatrica è particolarmente curato, con spazi dedicati e strumenti pensati per ridurre l’ansia e favorire l’approccio preventivo sin dalla tenera età. I servizi offerti spaziano dall’odontoiatria generale alla chirurgia orale, dall’igiene professionale e sbiancamento dentale fino a implantologia, ortodonzia invisibile e protesi personalizzate, con tecnologie moderne e materiali di alta qualità.

Fissa un Appuntamento